Natural history and non-operative treatment of paraesophageal hernias
Introduction
Paraesophageal hernias (PEHs), also known as hiatal hernias, are a common and important anatomical disease and represent a wide spectrum of variations and symptoms (1). They are characterized by projection of abdominal organs, most commonly the intra-abdominal esophagus and gastroesophageal (GE) junction, into the mediastinum through abnormal splaying of the diaphragmatic hiatus. Understanding the natural history and non-operative management is important for general and thoracic surgeons in this traditionally surgically managed disease. This review explores the classification, pathophysiology, diagnosis, natural history and non-operative treatment of PEH.
Classification
The nomenclature and classification of PEHs has changed over the last half-century. Terms such a “giant” or “sliding” have been replaced with a more anatomically defined system. Early literature with varying descriptions of PEHs has made it difficult to interpret and apply to patients. The modern classification system (see Table 1) categorizes the herniation of the stomach and/or other abdominal organs in relation to the GE junction from type I to IV (2). Type I is defined as elevation of the GE junction above the diaphragm but does not involve herniation of the stomach or other organs. This is often described as a “sliding” hiatal hernia. Because type I hernias do not involve paraesophageal herniation, these are not true PEHs. Type II PEHs involve herniation of the fundus of the stomach next to the esophagus into the chest but the GE junction remains in its native position. This is a true paraesophageal hernia. Type III hernias involve herniation of both the GE junction and the fundus of the stomach through the esophageal hiatus and is often referred to as a “combined” hernia. Finally, type IV are those that include other abdominal organs such as the liver, colon, small bowel, or pancreas in conjunction with the stomach. Although not part of this classification, the extent or percentage of herniation of the stomach or involvement of other organs is helpful both for understanding associated symptoms, risks and potential difficulty of surgical repair (3).
Table 1
| Type | Details |
|---|---|
| Type I | Gastroesophageal junction slides above the diaphragm |
| Stomach remains in its usual position | |
| Fundus remains below the gastroesophageal junction | |
| Type II | Gastroesophageal junction remains in its normal anatomic position |
| Fundus herniates through the hiatus | |
| Type III | Gastroesophageal junction and fundus herniate through hiatus |
| Type IV | Herniation of other abdominal organs through the hiatus +/− stomach |
Etiology and presentation
Although the pathophysiology of PEHs is not completely known, several studies have sought to understand the changes that occur at the hiatus. Biopsies of the gastrohepatic ligament, gastrophrenic ligament and phrenoesophageal ligament of those with PEH compared to control groups have found differences in the connective tissue matrix architecture, with higher ratios of type I collagen to type III collagen present in those with PEH (4). In addition, elastin fibers have been noted to be significantly reduced in the phrenoesophageal and gastrohepatic ligaments of patients with hiatal hernias compared to those without hiatal hernias with gastroesophageal reflux disease (GERD) symptoms (5). This may lead to relaxation of the ligaments and allow herniation of the stomach or abdominal contents through the hiatus. High intra-abdominal pressure with a relatively low intrathoracic pressure from obesity, pregnancy, or chronic cough can also lead to hernia formation over time. Additionally, PEHs can develop from bony changes such as degenerative disc disease and kyphosis with distortion of the hiatus (6).
There is no clearly identified genetic or somatic mutations that underlie the formation of PEHs. Most hernias are sporadic and are related to risk factors such as increased age, central obesity, and smoking (7). Hereditary clustering is unusual but can be seen in some genetic disease such as Down syndrome (Trisomy 21) or tissue collagen diseases such as Ehlers-Danlos and Marfan syndromes, which have increased incidences compared to healthy populations (8).
The vast majority of hiatal hernias are type I, which account for >95% of cases. As noted, these are not true PEHs, but are a common cause of GE reflux symptoms. Of the true PEHs, type III is the most common and account for >90% of these hernias, followed by type IV at 8% and type II at 2% (9).
With the increasing use of imaging and screening protocols, PEHs are commonly found incidentally on chest X-rays, computerized tomography (CT) scans and echocardiograms performed for other reasons (6). Most of these patients are asymptomatic, but a focused history may reveal symptoms related to the PEH extending back years that were overlooked or ignored. Others may present with symptoms including reflux, post-prandial fullness or discomfort, dysphagia, vomiting, regurgitation, cough or shortness of breath. Focused questioning to rule out concern for gastrointestinal (GI) bleeding, incarceration, volvulus, obstruction, strangulation and perforation should be performed. CT scans for other pathology that incidentally show small, asymptomatic PEHs typically do no need further imaging or testing.
Those with type I hernias may be younger and tend to have predominantly reflux symptoms (if symptomatic), whereas those with type II–IV tend to be older and have heartburn, chest pain/pressure, cough, early satiety, dysphagia, nausea, vomiting, weight loss, or anemia and may or may not have reflux (10,11). Chronic pneumonias from aspiration can be a common symptom, especially in the elderly. A high clinical suspicion is required for recurrent respiratory tract infections that cannot be explained by other pathologies.
Diagnosis
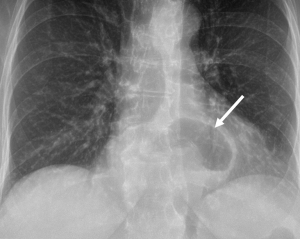
The main components of a diagnostic work-up and characterization of PEHs are a contrast swallow study and EGD. Chest X-rays may reveal a lucency in the retrocardiac space indicative of herniated stomach (see Figure 1) or pneumonia indicative of aspiration and these abnormalities are often the first clue to diagnosis. A chest X-ray alone, however, is not typically adequate in the work-up, as the differential diagnosis includes a mediastinal cyst, abscess, dilated/obstructed esophagus or other type of diaphragmatic hernia. CT scans of the chest and abdomen are helpful to understand the extent of herniation, accurately measure crural separation, and may be important in the acute setting. However, they are not always necessary in the elective setting, with contrast swallow studies and EGD being commonly used (12). Contrast swallow studies help classify the type of hernia by delineating the location of the GE junction and showing the extent of herniated stomach (see Figure 2). They can also help identify functional abnormalities of the esophagus, such as poor peristalsis or tertiary contractions, and may reveal reflux (either spontaneous or provoked).
EGD is an important diagnostic tool to help characterize the extent and type of hernia. This also provides the added advantage of visualizing the mucosa for ulcers, Barrett’s esophagus or other GE pathology, like strictures or malignancy. Esophageal manometry and/or pH testing may be useful in the elective setting, particularly in determining the need for an anti-reflux procedure at the time of hernia repair, but are often abnormal and may not necessarily change the approach to the operation (13). They are not needed in the urgent/emergent setting for management.
Natural history and management
Truly asymptomatic type I hernias do not require either medical or surgical management (14). Controversy exists over the optimal management of asymptomatic or mildly symptomatic types II–IV hernias, given the historical concern for progression to acute symptoms. As such, individual patient factors including presence of symptoms, size of the hernia, risk of progression, and patient co-morbidities all play a factor in deciding when to offer an operation. Surgical repair of PEH alleviates presenting symptoms, but also prevents the rare development of gastric incarceration and subsequent obstruction, strangulation and volvulus (15). Mechanical ulceration of the gastric mucosa at the site of the stomach protruding through the hiatus (Cameron’s ulcer) can lead to anemia and acute gastric bleeding. Cameron’s ulcers were seen in <1% of a large study of all patients undergoing EGD, but noted in 1.2% of patients with a small (<3 cm hiatal hernia) to 13% of patients with a large hiatal hernia (>5 cm) (16). Persistent non-steroidal anti-inflammatory medication use may increase the incidence of Cameron’s ulcers in PEH.
Obstruction can result when the stomach rotates around an axis along its mid-portion, resulting in a volvulus (6). Organoaxial rotation involves rotation of the stomach along the longitudinal axis on a line from the GE junction to the pylorus, leading to a closed-loop obstruction. A mesenteroaxial volvulus involves rotation along the transverse axis that bisects the greater and lesser curves. Mixed rotations along both axes can occur. Organoaxial is more common and typically presents with symptoms of retching with inability to vomit, epigastric pain and distention. Inability to pass a nasogastric tube in addition to these symptoms represents Borchardt’s triad (see Figure 3) and signifies a high-grade gastric obstruction (17). Gastric ischemia and resultant necrosis can occur with volvulus formation, if not corrected, and lead to perforation and subsequent mediastinitis, sepsis and death.
There is a paucity of published contemporary data related to the natural history of symptomatic PEH without surgical correction, making it difficult to fully understand the untreated natural history of this disease process. Most surgeons generally agree that if left untreated paraesophageal hernias have the potential to enlarge and/or become symptomatic over time. The generally accepted rate of progression from an asymptomatic to a symptomatic hernia is approximately 14% per year (6). The risk of developing acute, severe symptoms requiring urgent surgery has been estimated at 1–2% per year (18,19). A more recently published retrospective review of 186 patients with “giant” PEH who were treated conservatively with an average follow up of 58 months noted that 64% had no change in their clinical course or hernia-related symptoms (20). In this study 21% developed progression of symptoms that could be managed conservatively, and 7% had elective surgery due to symptom progression. A hernia-related complication was noted in 8.1% of patients, with 2% having semi-elective surgery, 1% requiring emergency surgery, and 5% undergoing conservative treatment or endoscopic desufflation. While observation is a reasonable approach to the asymptomatic or mildly symptomatic patient (18), those with acute symptoms often require emergent repair with resultant higher rates of morbidity and mortality compared to elective surgery, particularly in elderly patients (21). However, historical rates of high mortality with emergent operation (>17%) are likely significantly over-estimated and likely closer to 5% (18). Of note, patients undergoing foregut surgery for PEH repair tend to have an associated higher morbidity with the risk of pulmonary, cardiac, and thromboembolic complications and 30-day mortality being significantly increased compared to those only having an anti-reflux procedure (22). Moreover, octogenarians undergoing PEH repair have a mortality of 2.4% with elective repair and 15.7% with “non-elective repair” (21).
Non-operative management options are limited for PEHs. They will not resolve and may have progressive symptoms. Lifestyle modifications such as weight loss, physical activity, avoidance of constipation or other sources of increased intra-abdominal pressure could be helpful in reducing symptom formation or progression. For those with mainly reflux symptoms, medical management of reflux with proton pump inhibitors or H2 blockers may be sufficient. In patients who present with more severe symptoms such as dysphagia, postprandial pain or mild/intermittent obstructive symptoms, surgical management is often indicated (23). However, for poor surgical candidates dietary modifications including smaller and more frequent meals may provide some relief. Patients with progressive dysphagia, significant weight loss or failure to thrive from their PEH who remain poor surgical candidates for definitive repair can be treated with feeding jejunostomy or parenteral nutrition to provide necessary caloric intake. Symptomatic anemia related to ulceration or GI bleeding should be treated with transfusions, anti-acid therapy and iron supplementation. Pneumonias from aspiration should be treated when diagnosed.
While relatively rare, patients with acute symptoms of volvulus can present with a combination of gastric obstruction, GI bleeding and/or gastric ischemia with or without perforation (24). These patients require immediate evaluation by a surgeon and should have large bore peripheral intravenous catheters placed with intravenous fluid resuscitation. A nasogastric tube should be attempted to provide emergent decompression, but can often be difficult to do without endoscopic or imaging assistance (25). Emergent endoscopic decompression and directed placement of a nasogastric tube may be required. Following the above measures and appropriate resuscitation, patients who are candidates for surgical management should undergo repair (26). For those with prohibitive surgical risk, endoscopic decompression can provide relief of the acute symptoms, though the risk of recurrence is high (27). Percutaneous endoscopic gastrostomy or endoscopic/laparoscopic gastropexy can be helpful for those hernias that are anatomically favorable. This can provide gastric fixation and reduce the risk of rotation and also provide enteral access. A gastrojejunal tube may be needed to provide venting of the stomach and allow enteral feeds if significant reflux and aspiration is a concern.
A Finnish study demonstrated an in-hospital mortality of 16.4% for patients hospitalized with severe symptoms of PEH treated conservatively (28). Patients who present with acute volvulus with failed attempts of nasogastric decompression or who do not undergo endoscopic or surgical intervention rarely have spontaneous resolution. Progression to ischemia and gastric necrosis will likely occur with ongoing obstruction. For patients that decline or are unable to undergo endoscopic or surgical intervention, discussion of palliation with end of life goals should be done as mortality without treatment of an acute volvulus, especially with ischemia, is high.
Conclusions
Paraesophageal hernias have a broad spectrum of symptom presentation. Classifying these hernias is an important step in understanding the risks and treatment options. Endoscopy and upper GI contrast studies remain the best modalities for diagnosis. Surgical repair, as indicated by type and symptoms, is an important cornerstone of treatment. As a result, there has been little high-quality literature on the natural course and non-operative management of large, symptomatic hernias. Asymptomatic patients typically require no specific treatment but are at risk for progression over time. Lifestyle modifications and medical treatment of reflux are important for management of mild to moderate symptoms. While the risk of acute symptom development is low, volvulus/obstruction is associated with significant worsening morbidity and mortality. Although surgical correction is the optimal treatment, conservative or endoscopic management in high-risk surgical patients may be options. This, however, has a likely high rate of recurrent symptoms.
Acknowledgments
Funding: None.
Footnote
Provenance and Peer Review: This article was commissioned by the Guest Editor (Rishindra M. Reddy) for the series “Paraesophageal Hiatal Hernia Repairs, Transthoracic, Transabdominal, Laparoscopic, or Robotic, Which Method is Best” published in Video-Assisted Thoracic Surgery. The article has undergone external peer review.
Conflicts of Interest: Both authors have completed the ICMJE uniform disclosure form (available at http://dx.doi.org/10.21037/vats-21-17). The series “Paraesophageal Hiatal Hernia Repairs, Transthoracic, Transabdominal, Laparoscopic, or Robotic, Which Method is Best” was commissioned by the editorial office without any funding or sponsorship. The authors have no other conflicts of interest to declare.
Ethical Statement: The authors are accountable for all aspects of the work in ensuring that questions related to the accuracy or integrity of any part of the work are appropriately investigated and resolved.
Open Access Statement: This is an Open Access article distributed in accordance with the Creative Commons Attribution-NonCommercial-NoDerivs 4.0 International License (CC BY-NC-ND 4.0), which permits the non-commercial replication and distribution of the article with the strict proviso that no changes or edits are made and the original work is properly cited (including links to both the formal publication through the relevant DOI and the license). See: https://creativecommons.org/licenses/by-nc-nd/4.0/.
References
- Luketich JD, Raja S, Fernando HC. Laparoscopic repair of giant paraesophageal hernia: 100 consecutive cases. Ann Surg 2000;232:608-18. [Crossref] [PubMed]
- Kavic SM, Segan RD, George IM, et al. Classification of hiatal hernias using dynamic three-dimensional reconstruction. Surg Innov 2006;13:49-52. [Crossref] [PubMed]
- Awais O, Luketich J. Management of giant paraesophageal hernia. Minerva Chir 2009;64:159-68. [PubMed]
- Brown SR, Melman L, Jenkins E, et al. Collagen type I:III ratio of the gastroesophageal junction in patients with paraesophageal hernias. Surg Endosc 2011;25:1390-4. [Crossref] [PubMed]
- Curci JA, Melman LM, Thompson RW, et al. Elastic fiber depletion in the supporting ligaments of the gastroesophageal junction: a structural basis for the development of hiatal hernia. J Am Coll Surg 2008;207:191-6. [Crossref] [PubMed]
- Edwards J, Schieman C, Grondin SC. Paraesophageal Hiatal Hernia. In: LoCicero J III, Shields TW. Shields’ General Thoracic Surgery. 8th edition. Philadelphia, Wolters Kluwer, 2019:1813-25.
- Landreneau RJ, Del Pino M, Santos R. Management of paraesophageal hernias. Surg Clin North Am 2005;85:411-32. [Crossref] [PubMed]
- Baglaj SM, Noblett HR. Paraoesophageal hernia in children: familial occurrence and review of the literature. Pediatr Surg Int 1999;15:85-7. [Crossref] [PubMed]
- Hutter MM, Rattner DW. Paraesophageal and other complex diaphragmatic hernias. In: Yeo CJ. editor. Shackelford’s Surgery of the Alimentary Tract Philadelphia: Saunders Elsevier, 2007:549-62
- Altorki NK, Yankelevitz D, Skinner DB. Massive hiatal hernias: the anatomic basis of repair. J Thorac Cardiovasc Surg 1998;115:828-35. [Crossref] [PubMed]
- White BC, Jeansonne LO, Morgenthal CB, et al. Do recurrences after paraesophageal hernia repair matter? : Ten-year follow-up after laparoscopic repair. Surg Endosc 2008;22:1107-11. [Crossref] [PubMed]
- Sfara A, Dumitrascu DL. The management of hiatal hernia: an update on diagnosis and treatment. Med Pharm Rep 2019;92:321-5. [Crossref] [PubMed]
- Swanstrom LL, Jobe BA, Kinzie LR, et al. Esophageal motility and outcomes following laparoscopic paraesophageal hernia repair and fundoplication. Am J Surg 1999;177:359-63. [Crossref] [PubMed]
- Stefanidis D, Hope WW, Kohn GP, et al. Guidelines for surgical treatment of gastroesophageal reflux disease. Surg Endosc 2010;24:2647-69. [Crossref] [PubMed]
- Mitiek MO, Andrade RS. Giant hiatal hernia. Ann Thorac Surg 2010;89:S2168-73. [Crossref] [PubMed]
- Gray DM, Kushnir V, Kalra G, et al. Cameron lesions in patients with hiatal hernias: prevalence, presentation, and treatment outcome. Dis Esophagus 2015;28:448-52. [Crossref] [PubMed]
- Cardile AP, Heppner DS. Gastric volvulus, Borchardt’s Triad, and Endoscopy: A Rare Twist. Hawaii Med J 2011;70:80-2. [PubMed]
- Stylopoulos N, Gazelle GS, Rattner DW. Paraesophageal hernias: operation or observation? Ann Surg 2002;236:492-500. [Crossref] [PubMed]
- Allen MS, Trastek VF, Deschamps C, et al. Intrathoracic stomach. Presentation and results of operation. J Thorac Cardiovasc Surg 1993;105:253-8. [Crossref] [PubMed]
- Oude Nijhuis RAB, Hoek MV, Schuitenmaker JM, et al. The natural course of giant paraesophageal hernia and long-term outcomes following conservative management. United European Gastroenterol J 2020;8:1163-73. [Crossref] [PubMed]
- Poulose BK, Gosen C, Marks JM, et al. Inpatient mortality analysis of paraesophageal hernia repair in octogenarians. J Gastrointest Surg 2008;12:1888-92. [Crossref] [PubMed]
- Gupta A, Chang D, Steele KE, et al. Looking beyond age and co-morbidities as predictors of outcomes in paraesophageal hernia repair. J Gastrointest Surg 2008;12:2119-24. [Crossref] [PubMed]
- Maziak DE, Todd TR, Pearson FG. Massive hiatus hernia: evaluation and surgical management. J Thorac Cardiovasc Surg 1998;115:53-60. [Crossref] [PubMed]
- Bawahab M, Mitchell P, Church N, et al. Management of acute paraesophageal hernia. Surg Endosc 2009;23:255-9. [Crossref] [PubMed]
- Katkhouda N, Mavor E, Achanta K, et al. Laparoscopic repair of chronic intrathoracic gastric volvulus. Surgery 2000;128:784-90. [Crossref] [PubMed]
- Wirsching A, El Lakis MA, Mohiuddin K, et al. Acute Vs. Elective Paraesophageal Hernia Repair: Endoscopic Gastric Decompression Allows Semi-Elective Surgery in a Majority of Acute Patients. J Gastrointest Surg 2018;22:194-202. [Crossref] [PubMed]
- Zuiki T, Hosoya Y, Lefor AK, et al. The management of gastric volvulus in elderly patients. Int J Surg Case Rep 2016;29:88-93. [Crossref] [PubMed]
- Sihvo EI, Salo JA, Rasanen JV, et al. Fatal complications of adult paraesphageal hernia: A population-based study. J Thorac Cardiovasc Surg 2009;137:419-24. [Crossref] [PubMed]
Cite this article as: Jafferji MS, Phillips JD. Natural history and non-operative treatment of paraesophageal hernias. Video-assist Thorac Surg 2021;6:37.



